
Covid-19: Angola não regista casos positivos há 5 dias
Notícias de Angola – Covid-19: Angola não regista casos positivos há 5 dias As autoridades sanitárias angolanas continuam sem registo...
Tamanho da fonte
Newsletter
Receba os destaques do Informativo Angolano diretamente no seu email.

Notícias de Angola – Covid-19: Angola não regista casos positivos há 5 dias As autoridades sanitárias angolanas continuam sem registo...

Notícias de Angola – COVID-19: Angola continua sem registo de novos casos positivos O número de casos positivos do COVID-19,...

Notícias de Angola – Covid-19: anunciada a recuperação de mais dois pacientes recuperados As autoridades sanitárias anunciaram, neste sábado, a...

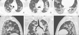
Urgente – Conheça as sequelas de quem se recupera da Covid-19 Cicatrizes nos pulmões, risco de enfarte e até problemas...

Notícias de Angola – Covid-19: Médicos cubanos chegam em Angola na sexta-feira O contingente de médicos cubanos chega sexta-feira ao...

Notícias de Angola – Covid-19: Médica angolana pede demissão Numa altura em que os profissionais da saúde, enfrentam o combate...

Notícias de Angola – Angola descarta vacina experimental contra o covid-19 As autoridades angolanas descartaram, nesta quarta-feira, o recurso, para...

Notícias de Angola – COVID-19: Angola soma 17 casos positivos O número de casos positivos de Covid-19, em Angola, passou...

Última hora – Já são 16 casos positivos registados de covid-19 em Angola O número de casos positivos de Covid-19...

Notícias de Angola – COVID-19: Angola regista mais quatro casos positivos As autoridades sanitárias anunciaram, neste domingo, o registo de...